Q热肺炎简介:寇热是由贝纳立克次体(R.burnetii,又称伯氏立克次体、寇热立克次体)引起的急性传染病。1935年在澳大利亚首次发现,由于认为是一种原因不明的疾病(query为疑问之意),故名寇热。临床表现主要为突然发热、头痛及全身酸痛,呼吸道感染是主要传播途径。易引起肺部病变(寇热肺炎,Q-fever pneumonia)。一般在病程中无皮疹、外斐反应呈阴性,因而有别于其他立克次体病。
- 别名
- 发病部位
- 传染性
- 治愈率
- 多发人群
- 相关症状
- 并发疾病
- 寇热肺炎
- 肺
- 无传染性
- 80%
- 所有人群
- 发烧,头痛,肌肉酸痛
- 是否医保
- 挂号科室
- 治疗方法
- 治疗周期
- 治疗费用
- 临床检查
- 无
- 呼吸内科,传染科,肝病
- 药物治疗
- 3-6周
- 市三甲医院约(1000-5000元)
- 立克次体补体结合试验,痰液显微镜检查,胸部平片
- 常见药品
- 四环素片,氯霉素胶囊,氯霉素注射液
- 在线购药
疾病症状:
Q热肺炎症状
寇热的潜伏期一般为20天,其范围在2~5周之间不等。临床上起病急,高热,多为弛张热伴寒战、严重头痛及全身肌肉酸痛。少数患者尚可出现咽痛、恶心、呕吐、腹泻、腹痛及精神错乱等表现。本病引起的呼吸道症状多不明显,可能与不同地区、不同菌株的毒力有关。例如在澳大利亚发生的寇热,引起肺炎的仅5%~9%。而在加拿大的新斯科夏或美国西部加利福尼亚发生的寇热病人中,肺炎发病典型、呼吸道症状突出,肺炎发病率可达30%~85%。此外,还与呼吸道吸入病原体的数量有关,有人用大剂量贝纳立克次体对猴子进行吸入激发,结果引起肺炎发病,而小剂量吸入则不引起肺炎发病。发生寇热肺炎,多数在起病后4~5天出现干咳或有少量黏痰。15%~45%病人出现胸膜炎症及胸痛症状。体格检查肺部可闻及细湿啰音,有时具有肺实变体征。伴相对缓脉及肝脾肿大等。寇热引起的非呼吸道(如肝、心脏、眼、血管等)表现多种多样,主要视受累的不同组织器官而定。
有病菌接触史或生活在流行地区的患者,应进一步做血清学检查,或者从患者的血、尿、痰、脑脊液或胸腔积液中分离出病原可做出诊断。依靠血、尿立克次体培养及痰、血的豚鼠或鸡胚接种以分离到贝纳立克次体,结合呼吸道表现和胸部X线表现以及血清学试验阳性结果、外斐反应等作出诊断。
疾病病因:
(一)发病原因
贝纳立克次体寄生于细胞的细胞质内,多呈球状或球杆状,对物理和化学因素具有较强抵抗力,50℃至少存活30min,经60~70℃ 15~30min才能灭活,在-70℃及冷冻干燥后可长期保存,在污染的土壤中能存活数月至1年,所以吸入污染土壤形成的气溶胶很易使人致病。贝纳立克次体具有相的变异。动物或蜱体内新分离的病原体属第1相。经鸡胚传代后成为第2相,也只有第2相能与恢复期和早期血清标本发生补体结合反应。贝纳立克次体对豚鼠、田鼠和鸡胚均有致病性,其中豚鼠为最常用的实验动物。
(二)发病机制
贝纳立克次体侵入机体后,先在局部单核细胞内生长繁殖,继而进入血液循环形成立克次体血症,并累及小血管和向心、肝、肺、肾、脑等脏器播散形成炎症。个别病例由于病情严重死亡,经尸检证实,肺部病变为弥漫性以大叶分布的炎症浸润,与肺炎球菌肺炎的大叶性肺实变相似,只是肺泡渗出液内富含单核细胞、淋巴细胞、纤维蛋白素,仅含少量中性粒细胞和红细胞,可区别于以中性粒细胞为主的细菌性肺炎。肺泡渗出液内还含有肺泡巨噬细胞(alveolar macrophage)。在肺泡巨噬细胞内可见到贝纳立克次体。组织切片显示,立克次体主要存在于侵害细胞的空泡及细胞质内,若用荧光素标记抗体经免疫组化方法则更利于清楚观察。由于巨噬细胞、淋巴细胞、浆细胞的浸润,可见肺泡壁增厚、充血水肿及肺泡间隔坏死等改变。细支气管黏膜也可出现坏死及炎性浸润。
疾病预防:
Q热肺炎预防
加强预防,如饮用牛奶必须经煮沸或巴斯德消毒。对患者应严格隔离,对其痰液、排泄物消毒。对流行区接触家畜及屠宰场、生奶加工、实验室操作人员进行疫苗接种,必要时予以预防性药物治疗。尽管寇热在人与人之间的传播不占主要,但对污染的患者血、尿、痰、衣物、尸检标本等,操作时应戴手套、口罩,而不用手直接接触。
疾病鉴别:
Q热肺炎鉴别
寇热肺炎易与兔热病、军团病、鹦鹉热、流行性感冒及支原体等引起的肺炎混淆,应结合患者疫区及病畜接触史、当地疫情、流行地区等,进一步进行血清学检查予以鉴别。合并肺外器官受累时,应与病毒性肺炎、单核细胞增多症、组织浆细胞病、钩端螺旋体病、弓形体病、伤寒、结核病、心内膜炎等鉴别,这对慢性寇热的诊断尤应重视。
疾病检查:
Q热肺炎检查
1.血液化验
血常规检查的诊断价值不大,急性期外周血白细胞多正常,或轻度增高伴轻度核移。血清转氨酶、碱性磷酸酶可增高。
2.痰液化验
痰液经革兰染色,主要显示大量的单核细胞,也有淋巴细胞及少量中性粒细胞等。痰液经培养分离到贝纳立克次体。
3.病原学检查
赖于从患者血、尿、痰、脑脊液和胸水中培养分离到贝纳立克次体。将临床标本接种豚鼠、田鼠或鸡胚。接种动物需4~6周血中方可出现特异性抗体,加之分离操作过程中存在随时致人受染的危险,故不作常规方法,必要时应对操作人员妥加防护。
利用免疫荧光素标记抗体技术或通过电镜,可直接观察组织中或巨噬细胞内的贝纳立克次体。
寇热肺炎患者可经纤维支气管镜肺活检和支气管肺泡灌洗获得标本,对活检组织及灌洗回收液中的肺泡巨噬细胞进行贝纳立克次体检测。
4.血清学检查
寇热的血清学诊断方法简便安全,结果可靠,常被临床应用。患者起病后2~4周血中出现特异性抗体,其检测方法包括补体结合试验、微量血液凝集试验、酶联免疫吸附试验(ELISA)和微量免疫荧光技术等,IgG抗体的急性期水平较恢复期增高并超过4倍以上则有诊断意义。特异性IgM抗体也可经ELISA方法检测,该抗体可在发病后持续17周以上,具有一定的诊断价值。
本病外斐反应阴性。较易区别于其他常见立克次体病。鉴于贝纳立克次体具有相的变异,在急性期,2相抗原的抗体水平明显增高;慢性寇热血清中1相抗原的抗体滴度增高,其效价≥1∶200。
5.分子生物学检测
目前可用DNA探针和PCR技术检测标本中贝纳立克次体DNA,特异性强,敏感性高,并可鉴别贝纳立克次体的急、慢性感染。
6.动物接种和病原体分离
取发热的病人血液2~3ml接种于豚鼠腹腔内,动物发热后处死,作脾脏压印涂片检查,可见存在于胞质内的病原体。也可用鸡胚卵黄囊或组织培养分离病原体。须在有条件的实验室中进行,以免感染播散。
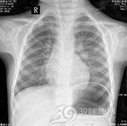
X线检查:肺部散在的片状模糊阴影,段性和亚段性分布,有时呈大叶性实变征象,多数发生在一侧或双侧肺部下叶。
疾病就诊:
疾病治疗:
Q热肺炎一般治疗
Q热肺炎治疗
四环素、氯霉素和多西环素对本病治疗相当有效。四环素2g/d,分4次口服。考虑用药安全,氯霉素还可用多西环素、利福平、红霉素、磺胺甲噁唑等替代。多西环素成人量为200mg/d,疗程10天,用药时间至热退后1周。对慢性寇热可采用四环素或多西环素联合磺胺甲噁唑/甲氧苄啶(复方磺胺甲噁唑)(2片/次,2次/d)或利福平(450mg/d)治疗,疗程数天至数月。其他治疗同其他立克次体病。
预后
部分病人的感染症状随病程的进展有一定的自限性。未经治疗的寇热患者死亡率仅1%左右。
疾病护理:
Q热肺炎一般护理
Q热肺炎护理
贝纳立克次体寄生于细胞的细胞质内,多呈球状或球杆状,对物理和化学因素具有较强抵抗力,50℃至少存活30min,经60~70℃ 15~30min才能灭活,在-70℃及冷冻干燥后可长期保存,在污染的土壤中能存活数月至1年,所以吸入污染土壤形成的气溶胶很易使人致病。贝纳立克次体具有相的变异。动物或蜱体内新分离的病原体属第1相。经鸡胚传代后成为第2相,也只有第2相能与恢复期和早期血清标本发生补体结合反应。贝纳立克次体对豚鼠、田鼠和鸡胚均有致病性,其中豚鼠为最常用的实验动物。
疾病饮食:
Q热肺炎饮食原则
Q热肺炎饮食
患者适宜吃什么?
发热期间饮食宜清淡易消化,以流质半流质为好,如粥类、米粉、藕粉、果汁、绿豆汤等,且多饮水,保持二便通畅。
恢复期间退热后可进食润肺生津食物和肉类,如牛奶、蛋、鱼汤、瘦肉汤、丝瓜、荸荠、银耳、沙参、玉竹、山药、扁豆、蜂蜜等。
患者不适宜吃什么?
禁食温热食物及油腻肥厚辛辣之品,以免助热生痰。此外,过甜过咸之食物,助湿生痰,酸味收敛,使痰不易出,均不宜。
食疗方:
方1
【组成】生姜5 克、白米适量。
【用法】煮粥食用。
【主治】风寒闭肺型肺炎喘嗽。
方2
【组成】生姜5 克、连须葱白2 根、糯米适量。
【用法】将生姜捣烂,连须葱白切碎,与糯米一起煮粥,熟时加入米醋,趁热服之。
【主治】风寒闭肺型肺炎喘嗽。证见发热无汗,呛咳气急,不渴,痰白而稀,舌苔薄白或白腻,舌质不红,指绞青,多在风关,脉象沉紧。
方3
【组成】吊扬尘60 克、葱白7 根、生姜7 片、甜酒曲2 粒。
【用法】将上药研捣和匀,加热酒调敷胸部膻中、鸠尾穴处。
【主治】小儿肺炎高热喘促。
方4
【组成】葱白6 克、艾叶6 克。
【用法】共捣烂敷脐。
【主治】小儿肺炎发热。退热作用较好。
方5
【组成】大蒜。
【用法】捣泥贴足心。
【主治】小儿急性喉炎之呼吸困难。






